壳寡糖对杂交黄颡鱼“黄优1号”(黄颡鱼♀×瓦氏黄颡鱼♂)生长性能与免疫机能的影响

EFFECTS OF DIETARY CHITOSAN OLIGOSACCHARIDE ON GROWTH PERFORMANCE AND IMMUNITY OF HYBRID YELLOW CATFISH “HUANGYOU NO. 1” TACHYSURUS FULVIDRACO♀×TACHYSURUS VACHELLI

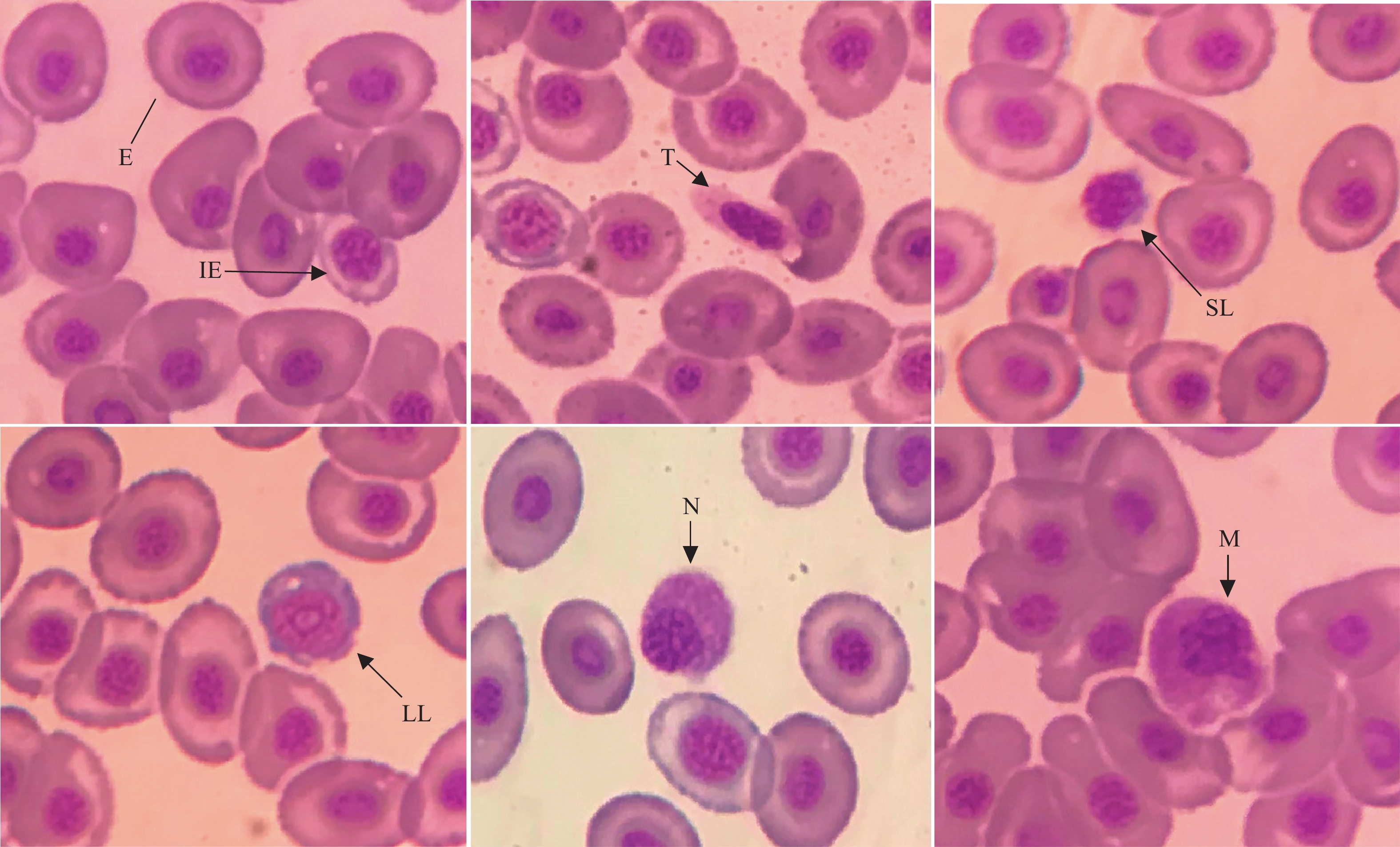
  • 摘要: 为研究饲料中添加不同剂量壳寡糖(COS)对杂交黄颡鱼“黄优1号”(Tachysurus fulvidraco ♀× Tachysurus vachelli ♂)生长性能、特异及非特异性免疫机能的影响, 试验分4组, 壳寡糖有效剂量分别以0、40、80和120 mg/kg添加到饲料中, 为期56d。结果显示: 120 mg/kg组特定生长率(SGR)显著高于对照组, 饲料系数(FCR)显著低于对照组(P<0.05); 随壳寡糖剂量增大, 蛋白质效率(PER)变化趋势与FCR相反。同时, 各剂量壳寡糖均能显著提高白细胞吞噬指数(PI, P<0.05); 淋巴细胞转化率(LTR)随壳寡糖剂量增大而显著升高(P<0.05), 剂量达80 mg/kg后保持稳定(P>0.05); 高剂量试验组(80和120 mg/kg)溶菌酶活力和IgM水平显著高于低剂量组(40 mg/kg)和对照组 (P<0.05)。研究结果表明: 在试验条件下, 饲料中添加壳寡糖能显著提升杂交黄颡鱼“黄优1号”生长速度, 降低饲料系数, 促进白细胞吞噬功能及淋巴细胞转化, 并能提高体液免疫水平, 建议有效剂量为80—120 mg/kg。

     

    Abstract: To evaluate the effects of dietary chitosan oligosaccharide (COS) on growth performance, feed utilization, specific and non-specific immunity of hybrid yellow catfish Tachysurus fulvidraco♀× Tachysurus vachelli♂, a total of 420 fish with the initial body weight 33—40 g were randomly assigned to 4 treatments with 3 replicates. The fish were fed experimental diets supplemented with 0, 40, 80 and 120 mg/kg COS for 8 weeks. Specific growth rate (SGR) in 120 mg/kg COS group was significantly higher than that of 0 and 40 mg/kg groups (P<0.05). Feed conversion rate (FCR) of the 0 COS group was significantly higher than that of 120 mg/kg group. As the increase of COS dose, the variation trend of protein efficiency ratio (PER) was opposite to that of FCR. White blood cell count (WBC) was not significantly affected by COS treatment (P>0.05). COS significantly increased leukocyte Phagocytic index (PI) (P<0.05). Lymphocyte transformation rate (LTR) increased significantly with the increased COS dose from 0 to 80 mg/kg (P<0.05), and then remained unchanged after 80 mg/kg dosage (P>0.05). Lysozyme activity and IgM levels in 80 and 120 mg/kg COS treatment groups were significantly higher than the other two groups (P<0.05). The present results suggest that, under the current conditions, 80—120 mg/kg supplement of COS (effective dose) can increase the SGR, reduce the FCR, promote leukocyte phagocytosis and lymphocyte turnover, and increase lysozyme activity and immunoglobulin levels.

     

/

返回文章
返回