环境铜离子对吉富罗非鱼生长性能、脂代谢、肝胰脏和脾脏组织的影响

ENVIRONMENTAL COPPER ON GROWTH PERFORMANCE, LIPID METABOLISM, HEPATOPANCREAS AND SPLEEN HISTOLOGY OF GIFT TILAPIA (OREOCHROMIS NILOTICUS)

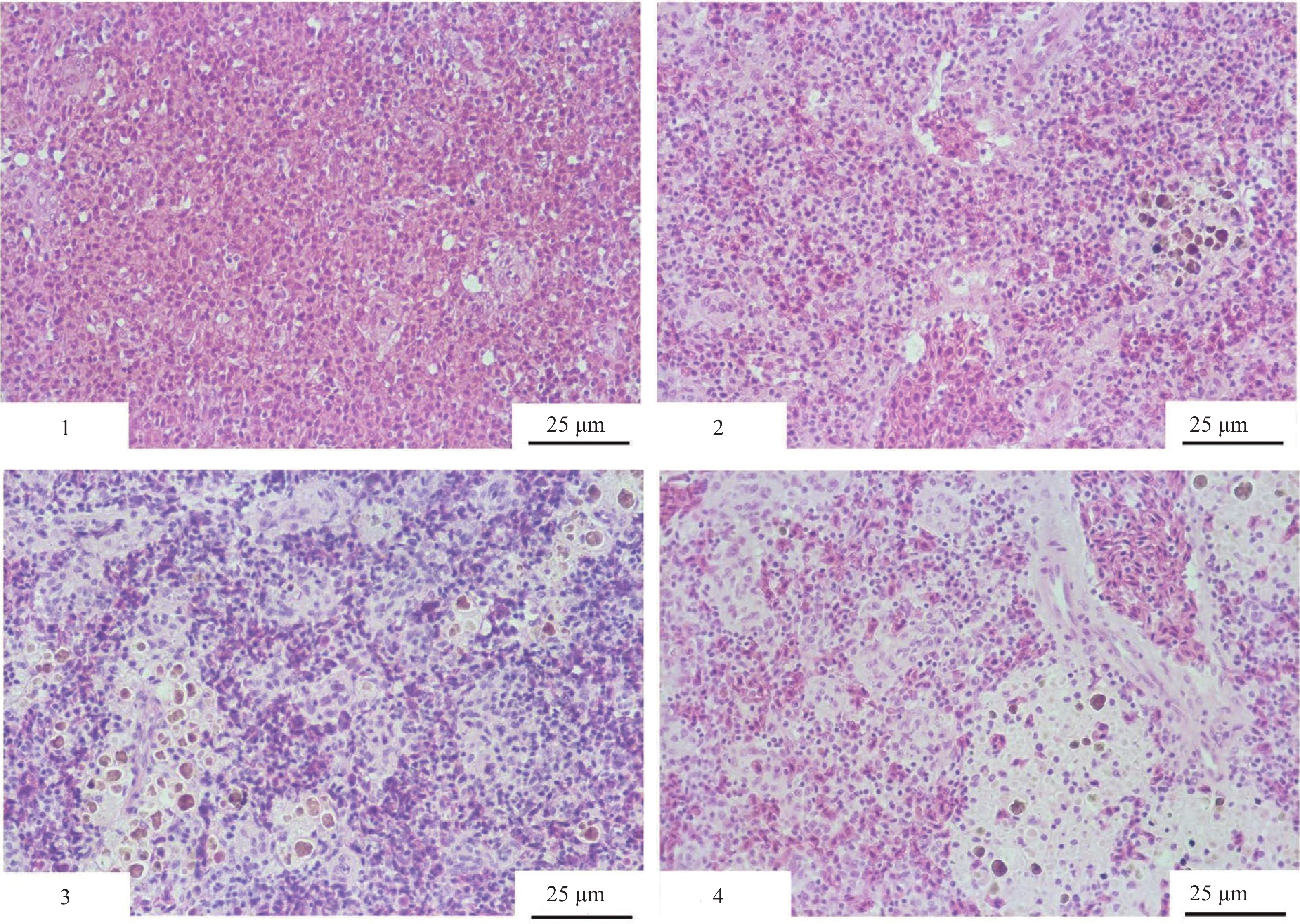
  • 摘要: 为探究水体中Cu2+对罗非鱼(GIFT tilapia, Oreochromis niloticus)生长性能、肝胰脏脂代谢和脾脏免疫功能的影响, 实验设置水体Cu2+浓度分别为0(对照组)、0.2、0.4和0.8 mg/L, 每个浓度处理组设置3个实验重复, 选择初始体重为(0.45±0.02) g的健康罗非鱼幼体, 随机分配至12个养殖缸中, 进行4周的养殖实验。结果显示: (1) 在水体Cu2+胁迫下, 罗非鱼的存活率、增重率和特定生长率均显著下降; 0.4和0.8 mg/L Cu2+浓度组罗非鱼的肝体比显著高于对照组和0.2 mg/L处理组。(2) 0.4和0.8 mg/L处理组罗非鱼肝胰脏中甘油三酯含量显著高于对照组, 但与0.2 mg/L处理组之间无显著差异; 肝胰脏中总胆固醇含量与3-羟基-3-甲基戊二酸单酰辅酶A还原酶活力在各组间无显著差异。(3) 在水体Cu2+胁迫下, 罗非鱼血清低密度脂蛋白胆固醇、总胆固醇含量和谷草转氨酶活力均显著上升; 血清甘油三酯含量呈先下降后上升的趋势, 且0.8 mg/L处理组含量显著高于0.2 mg/L处理组; 0.8 mg/L Cu2+处理组罗非鱼血清谷丙转氨酶活力显著高于0.2和0.4 mg/L处理组, 但与对照组无显著差异。(4) 组织学结果表明, 水体过量Cu2+使罗非鱼肝胰脏组织空泡化现象严重, 脂滴含量显著高于对照组; 脾脏组织出现较大面积的巨噬细胞中心, 且脂褐素含量显著增加。研究表明, 水体Cu2+暴露显著降低了罗非鱼生长性能, 并导致肝胰脏和血清脂肪沉积, 造成肝胰脏、脾脏损伤。研究为明确重金属环境下养殖鱼类腹腔脂肪蓄积及脾脏损伤机制提供了数据参考。

     

    Abstract: Excessive environmental heavy metals can induce lipid accumulation and cause hepatopancreas and spleen damage of fish. In order to explore the effects of different concentrations of Copper (Cu) on growth performance, hepatopancreas lipid metabolism and spleen immunity, tilapia initial weight of (0.45±0.02) g were randomly assigned to 0 (control), 0.2, 0.4 and 0.8 mg/L Cu concentration, respectively. After four-week cultivation, hepatopancreas, serum, and spleen were sampled. The results showed that: 1. Under waterborne Cu exposure, the survival, weight gain, and specific growth rate of the tilapia showed a significant decline. The hepatosomatic index of tilapia in the 0.4 and 0.8 mg/L Cu concentration groups were significantly higher than those in control and 0.2 mg/L group (P<0.05). 2. Compared to control, triglycerides contents in hepatopancreas of tilapia under 0.4 and 0.8 mg/L groups increased significantly (P<0.05), and no significant difference was found in 0.2 mg/L group. There was no significant difference of total cholesterol content (T-CHO) and 3-hydroxy-3-methylglutaryl-Coenzyme A reductase activity in hepatopancreas among all groups (P>0.05). 3. Under Cu exposure, serum low-density lipoprotein cholesterol, T-CHO content and aspartate aminotransferase activity (P<0.05) were significantly higher than that of control group. Serum triglyceride content decreased significantly thereafter increased with the highest value in 0.8 mg/L group (P<0.05). The alanine aminotransferase activity of tilapia under 0.8 mg/L group was significantly higher than 0.2 and 0.4 mg/L groups (P<0.05), but had no significant difference of control. 4. The histological analyses indicated that the hepatopancreases tissue of tilapia showed vacuolization seriously, and the lipid droplets content was significantly higher than that in control. Environmental copper also caused more and larger melano-macrophage centers (MMCs) in spleen, and lipofuscin increased remarkably within MMCs. The results suggested that waterborne Cu exposure significantly reduced the growth performance of tilapia, and caused lipid deposition in hepatopancreas and serum, further induced hepatopancreas and spleen damage. This study provided basic date for clarifying abdominal lipid accumulation and spleen histological injury in aquaculture species under heavy metal environment.

     

/

返回文章
返回