草鱼β-防御素1的趋化活性及免疫佐剂效应研究

CHEMOTACTIC ACTIVITY AND IMMUNE ADJUVANT EFFECT OF GRASS CARP ΒETA DEFENSIN 1

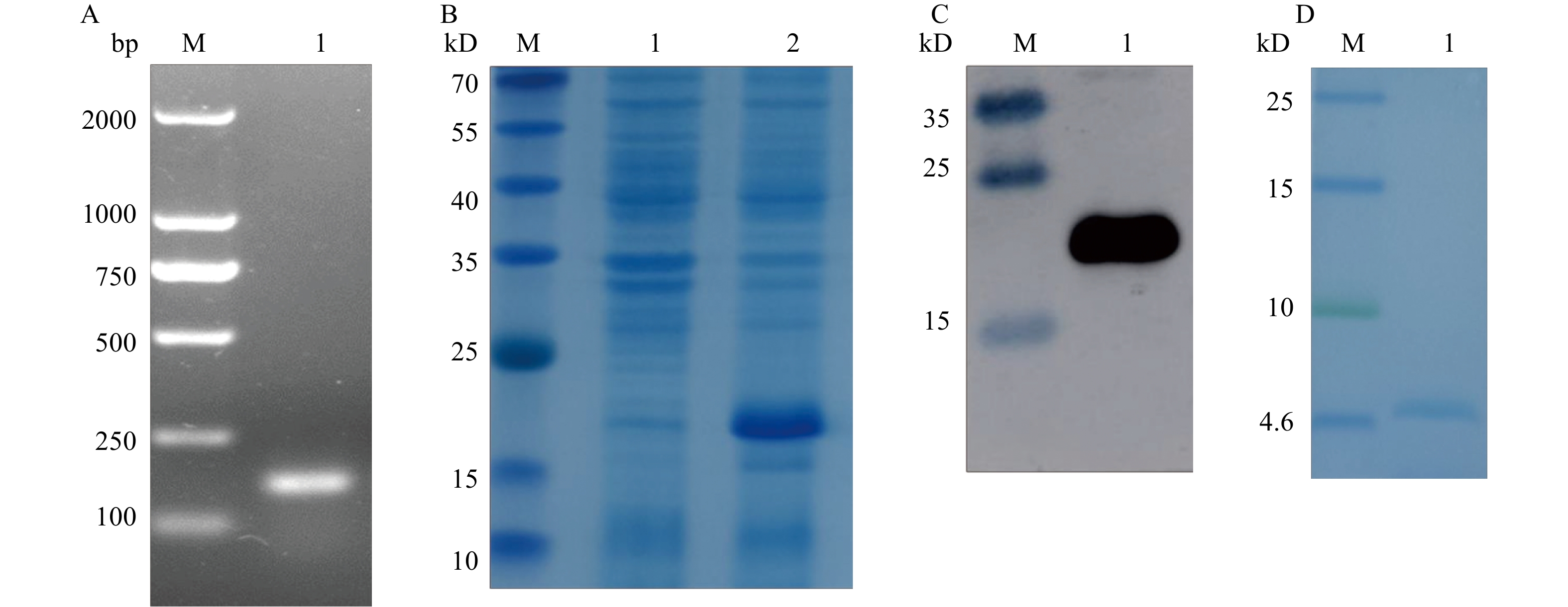
  • 摘要: 为了探究草鱼防御素的免疫调节作用, 研究通过Clustal Omega多序列比对和I-TASSER二级结构预测, 发现草鱼β-防御素1(Ctenopharyngodon idella β-defensin 1, CiBD1)是一类具有两亲性的富含半胱氨酸的小分子阳离子肽, 其结构在硬骨鱼类中高度保守; 通过构建pET-32a-CiBD1原核表达载体, IPTG诱导表达后经过Ni2+亲和层析法纯化和肠激酶酶切获得CiBD1重组蛋白, 通过CFU平板法验证了CiBD1的抑菌活性, 当蛋白浓度达到200 μg/mL时, 对革兰氏阴性菌(G+)及革兰氏阳性菌(G)都具有显著的抑制活性; 趋化实验表明CiBD1在50 ng/mL时对草鱼原代白细胞趋化活性最佳; 通过个体实验探究了CiBD1重组蛋白对嗜水气单胞菌灭活疫苗的免疫佐剂效应, 发现添加 CiBD1佐剂组死亡率显著低于单独疫苗组, 且该组IgMMHC Ⅱ转录水平及血清中补体3(C3)和溶菌酶含量都显著高于对照组。研究表明CiBD1重组蛋白在细菌抗感染免疫中发挥着重要作用, 在水产养殖中具有一定的应用前景。

     

    Abstract: β-defensin (BD) is a small cationic peptide rich in cysteine, which plays an important role in host defense and innate immunity. BDs exist widely in all kinds of organisms in nature, and were initially concerned and studied extensively due to its spectral antibacterial activity. With in-depth research, it has been found in recent years that BD not only has direct antiviral microbial activity, but also plays an important regulatory role in natural immunity. At present, there are few studies on the immunomodulatory function of fish defensin. The study on grass carp BD still remained in the analysis of antibacterial activity. In this study, the antibacterial function of grass carp β-defensin 1 (CiBD1) was verified, and its chemochemogenic activity and adjuvant effect on Aeromonas hydrophila inactivated vaccine were explored, which can provide new insights for the prevention and treatment of grass carp bacterial disease. Relevant experimental results are as follows: 1. CiBD1 is a class of cationic amphiphilic proteins with highly conserved three β-folded structures. Through Clustal Omega multi-sequence alignment and I-Tasser secondary structure prediction, it is found that CiBD1 is a kind of amphiphile cationic peptide rich in cysteine. Its structure is highly conserved in bony fishes. 2. CiBD1 is constitutively distributed in all tissues of grass carp and highly expressed in some mucosal tissues. In order to explore the physiological role of CiBD1, we studied the transcription level of CiBD1 gene in different tissues of grass carp under normal physiological conditions, and the results showed that skin and eye were the two tissues with the highest level of CiBD1 transcription before infection. The transcription level of CiBD1 in all tissues of grass carp infected with Aeromonas hydrophila at 72h was significantly different from that before infection, which showed that the transcription level of CiBD1 in tissues related to mucosal immunity, such as skin, eyes, swim bladder and hindgut, was significantly higher. 3. The recombinant CiBD1 protein was successfully expressed by the prokaryotic expression system of Escherichia coli, and the antibacterial activity of CiBD1 was verified in vitro. The prokaryotic expression vector pET-32a-CiBD1 was constructed and induced by IPTG. The recombinant CiBD1 protein was purified by Ni2+ affinity chromatography and digested by enterocyte kinase. The antibacterial activity of CiBD1 was verified by CFU plate method. It has significant inhibitory activity against gram-negative bacteria (G+) and Gram-positive bacteria (G-). 4. CiBD1 has chemotactic activity of leukocytes in vitro, which can enhance the protective effect of Aeromonas hydrophila inactivated vaccine on grass carp, and has the potential to be used as an immune adjuvant. Chemotactic experiments showed that CiBD1had the best chemotactic activity on primary white blood cells of grass carp at 50 ng/mL. The immune adjuvant effect of CiBD1 recombinant protein on Aeromonas hydrophila inactivated vaccine was investigated by individual experiment. The mortality rate of the group with CiBD1 adjuvant was significantly lower than that of the group with vaccine alone, and the levels of IgM and MHC Ⅱ transcription and the contents of complement 3 (C3) and lysozyme in serum were significantly higher than those of the control group.In conclusion, CiBD1 is a class of highly conserved small molecule cationic antimicrobial peptide. CiBD1 is distributed in various tissues of grass carp in a constituent form and is highly expressed in some mucosal tissues. When the body is stimulated by pathogens or environmental stimuli, CiBD1 transcription level expression in some tissues in close contact with the peripheral environment is more significant. CiBD1 recombinant protein not only had certain killing activity against bacteria in vitro, but also showed strong chemotactic activity against lymphocyte and myeloid cells of grass carp. CiBD1 can improve the protection rate and disease resistance of Aeromonas hydrophila inactivated vaccine, and has a good immune adjuvant effect. This study indicated that CiBD1 recombinant protein plays an important role in bacterial anti-infection immunity and has a certain application prospect in aquaculture.

     

/

返回文章
返回