克氏原螯虾嗜水气单胞菌噬菌体的分离鉴定和应用

ISOLATION, IDENTIFICATION AND PRELIMINARY APPLICATION OF AEROMONAS HYDROPHILA PHAGE FROM PROCAMBARUS CLARKII

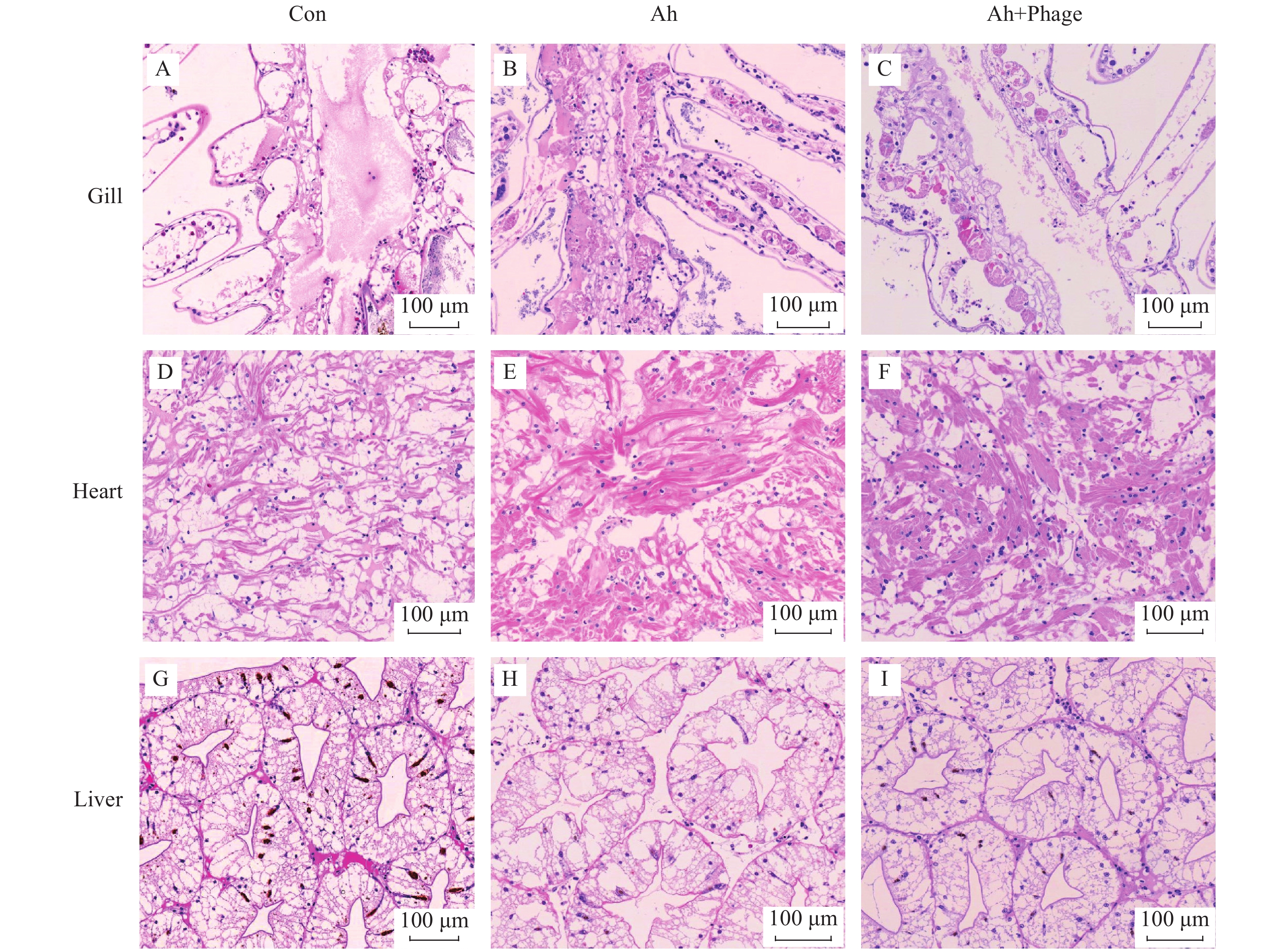
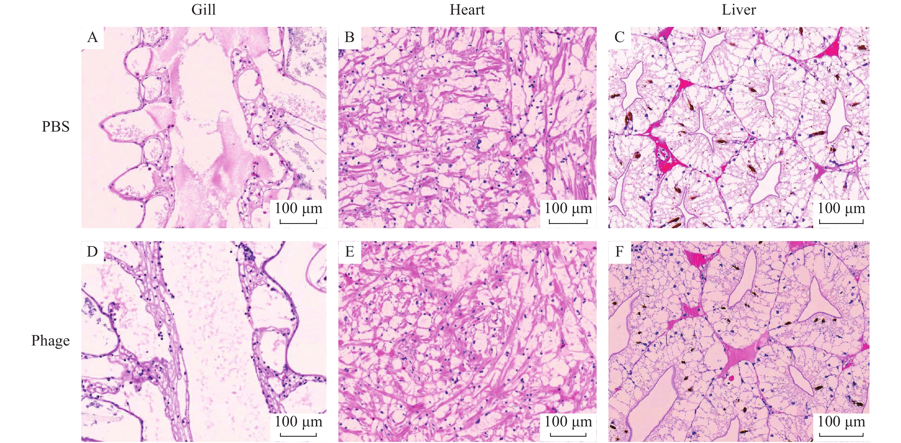
  • 摘要: 为分离获得致病性嗜水气单胞菌烈性噬菌体, 鉴定和研究其生物学特性, 为克氏原螯虾细菌性疾病的防治和治疗提供依据, 研究以患病克氏原螯虾分离到的致病性嗜水气单胞菌为宿主菌, 从湖泊水体中分离到多株噬菌体, 对其中一株烈性噬菌体Ph-0进行了生物学特性的分析, 包括噬菌斑形态的观察, 最佳感染复数的测定, 一步生长曲线的绘制, 热稳定性的测定等。结果显示, 噬菌体Ph-0的噬菌斑呈圆形, 边缘可见1 mm左右的半透明晕环; 其最佳感染复数为0.1 MOI; 一步生长曲线表明其潜伏期约20min, 裂解期持续约70min, 90min后为平台期; 噬菌体在0—40℃下活性无明显变化, 但是当温度高于50℃活性开始下降; 在pH 3—11的环境中活性良好, 具有耐酸耐碱的性质; 此外对紫外和氯仿极其敏感, 在处理数分钟后滴度下降明显。噬菌体治疗人工感染嗜水气单胞菌的克氏原螯虾试验结果表明, 分别采用注射和浸泡两种方法进行治疗, 保护率可分别达到66%和20%, 病理切片结果显示在使用噬菌体治疗之后, 克氏原螯虾的鳃、心脏和肝胰腺均得到不同效果的治疗, 总体效果良好。上述研究结果表明噬菌体Ph-0是一株裂解性较强, 裂解周期短的烈性噬菌体, 对感染嗜水气单胞菌的克氏原螯虾有一定的保护效果。

     

    Abstract: This study isolated and purified a virulent bacteriophage, named Ph-0, from lake by pathogenic Aeromonas hydrophila of Procambarus clarkii. The biological characteristics of the isolated bacteriophages were analyzed, including plaque morphology, the optimal multiplicity of infection, one-step growth curve, and thermal stability. The results showed that the plaque of phage Ph-0 was round with a semitransparent halo on the edge; the optimal multiplicity of infection was 0.1 MOI; the one-step growth curve showed that the incubation period of bacteriophage was about 20 minutes and the lytic period lasted about 70 minutes; the activity of bacteriophage had no obvious change from 0 to 40℃. The activity of bacteriophage did not change significantly between 0 and 40℃, but began to decrease at temperature above 50℃. It was stable in both acidic and alkaline environment, and the activity of bacteriophage was extremely sensitive to UV and chloroform. The results showed that the protective rates of injection and immersion were 66% and 20% respectively. The results of pathological sections showed that the gills, heart and hepatopancreas of Procambarus clarkii after phage treatment were greatly protected. The above results showed that bacteriophage Ph-0 is a bacteriophage with strong lytic ability and short lytic cycle, which has a certain protective effect on Procambarus clarkii.

     

/

返回文章
返回